Shifting Paradigms/Self Portraits, Eye #1

Medical images/computer prints on film
DNA sample, ink, acrylic box
Each 30 x 35cm

This work attempted to construct a contemporary portrait which went beyond a concern with appearance. The anatomical images were acquired from my body using medical imaging and relate to historical notions for the location of intangibles within the body.

MRI scan of the eye

Da Vinci located the soul at the junction of the optic nerves, thereby linking light, vision and truth and a series of five eye images related to this.

Print of section through the eye.

Heart #1

In Hebrew mythology the Yester - a form of creative imagination - is positioned at the junction of the valves of the heart.

The abstract pattern in the work is also from my body - from my imagination. A DNA sample is included behind the pattern, alluding to a connection between the concept of DNA as a human program and the computer program. The energy expressed by the pattern is suggestive of some inherent potential in both imagination and the DNA.

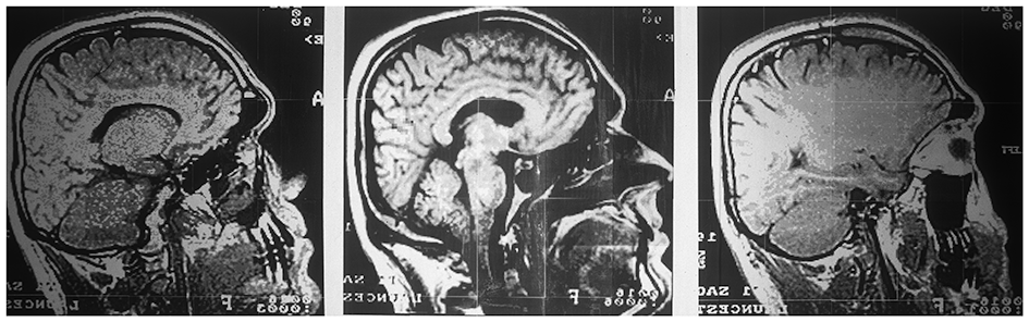
Prints from scans of the head.

Link to magazine Article

Exhibited at the Substation Gallery, Singapore with selected work in the LASALLE College of the Arts collection. 
Selected works were also included in Above and Beyond, Austral/Asian Interactions, an ACCA/IMA project curated by Clare Williamson and Michael Snelling, which toured Australia and exhibited at:
Australian Centre for Contemporary Art, Melbourne; Institute of Modern Art, Brisbane; 24hr Art, Darwin; Centre for Contemporary Art, Canberra; Contemporary Art Centre of South Australia, Adelaide.

Back to Top